Can Pet Ct Scan Detect Breast Cancer : The Importance Of Pet Ct In The Diagnosis And Treatment Of Cancer Acibadem Healthcare Services : The test has only a limited ability to detect small tumors.
Dapatkan link
Facebook
X
Pinterest
Email
Aplikasi Lainnya
Can Pet Ct Scan Detect Breast Cancer : The Importance Of Pet Ct In The Diagnosis And Treatment Of Cancer Acibadem Healthcare Services : The test has only a limited ability to detect small tumors.. Very subtle changes in tissue architecture are apparent on a mammogram, as are small deposits. Thus, pet/ct detected a primary breast mass and metastatic lymphadenopathy that mammography and ultrasonography failed to detect a finding not previously reported, to our knowledge. A ct scan produces multiple images, providing a detailed picture of the internal anatomy, including the location of cancerous growths. Breast positron emission tomography (pet) scan is an imaging test that uses a tracer (radioactive substance) to look for symptoms of breast cancer. And other kinds will show only on a bone scan but not a pet scan.
How the test is performed A breast positron emission tomography (pet) scan is an imaging test that uses a radioactive substance (called a tracer) to look for breast cancer. But you might also just hear it called a pet scan. A breast pet scan is often very specific and sensitive and is approved for patients. Am wondering if all the while we are getting ct scans for lung cancer, is this also scanning for.
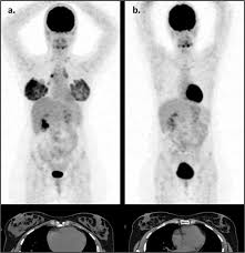
Pet Ct Scan For Breast Scanning from www.3hcare.in Pet scans are not used to screen women for breast cancer. At left is a ct scan, while the center image is from a pet scanner. A pet/ct scan is a newer technology used to create images of the body's cells as they work. The report of ct scan cannot be the basis of determining if a patient has cancer or not; Breast pet scans are known as positron emission mammography (pem). Normally, a pet scan is not used for breast cancer screening. Pet/ct, a scan that combines positron emission tomography and computerized tomography, is an extremely useful tool for determining if melanoma has spread. Its supposed to be more sensitive/specific than naf and other older scans, and comparable i think to choline or acetate (lots of studies and info on the web) and.
Pet/ct, a scan that combines positron emission tomography and computerized tomography, is an extremely useful tool for determining if melanoma has spread.
Bone scans, positron emission tomography (pet), and computed tomography (ct) all continue to be employed alone or in combination for the detection of breast cancers suspected to have spread. Pet/ct scans using axumin tracer, approved by fda last year and newly approved by medicare in some areas, are starting to be done at different locations. In a ct scan, you can see the broad pictures of all tissues and organs present in the body. Very subtle changes in tissue architecture are apparent on a mammogram, as are small deposits. A pet/ct scan is a newer technology used to create images of the body's cells as they work. After detecting the location of the tumor, the area will be biopsied for testing in the lab. This test can help show if the cancer has spread to your bones. At left is a ct scan, while the center image is from a pet scanner. Pet scan for breast cancer a positron emission tomography (pet) scan is an imaging test that uses a radioactive substance (called a tracer) to look for potential spread of breast cancer. A positron emission tomography scan is known as a pet scan. It can be done along with a ct scan. However, the pet scan uncovers every unusual activity in the body and is more sensitive than any other existing imaging test. Before a pet/ct scan, an iv that injects a small amount of a radioactive substance will be placed into one of your veins.
A pet scan is often combined with a ct scan (known as a pet/ct scan). One example is a combined pet and ct scan (known as pet/ct), available in some centers. I am wondering, and never asked the oncologist about this. Another very common type of cancer is prostate cancer and for this type it's actually been proven that bone scans are more effective than pet scans. With cancer cells, they appear as bright spots due to its higher metabolic rate compared to normal cells.
Pdf The Role Of Pet Ct For Evaluating Breast Cancer from www.researchgate.net This tracer can help identify areas of cancer that an mri or ct scan may miss. A positron emission tomography scan is known as a pet scan. Its supposed to be more sensitive/specific than naf and other older scans, and comparable i think to choline or acetate (lots of studies and info on the web) and. It can be done along with a ct scan. It is common for patients to receive a diagnosis for cancer of unknown primary. Normally, a pet scan is not used for breast cancer screening. Bone scans, positron emission tomography (pet), and computed tomography (ct) all continue to be employed alone or in combination for the detection of breast cancers suspected to have spread. Pet scans can be useful for evaluating people after breast cancer has already been diagnosed, in a number of different ways:
One example is a combined pet and ct scan (known as pet/ct), available in some centers.
Pet scan is a type of test that may be used in cancer treatment. So i think in patients with breast cancer, it's very important to obtain both. Does anyone know if a ct scan can show breast cancer or colon cancer rather than the standard mammogram or colonoscopy? Another very common type of cancer is prostate cancer and for this type it's actually been proven that bone scans are more effective than pet scans. It can be done along with a ct scan. Pet/ct scans using axumin tracer, approved by fda last year and newly approved by medicare in some areas, are starting to be done at different locations. Am wondering if all the while we are getting ct scans for lung cancer, is this also scanning for. However, the pet scan uncovers every unusual activity in the body and is more sensitive than any other existing imaging test. Its supposed to be more sensitive/specific than naf and other older scans, and comparable i think to choline or acetate (lots of studies and info on the web) and. Thus, pet/ct detected a primary breast mass and metastatic lymphadenopathy that mammography and ultrasonography failed to detect a finding not previously reported, to our knowledge. But you might also just hear it called a pet scan. Pet scans can be used to determine how much cancer is in a person's body and how far the cancer has spread, which is called staging. And other kinds will show only on a bone scan but not a pet scan.
How the test is performed Am wondering if all the while we are getting ct scans for lung cancer, is this also scanning for. Pet/ct scan can accurately localize lymph node metastasis and help to monitor the response to chemotherapy. Before a pet/ct scan, an iv that injects a small amount of a radioactive substance will be placed into one of your veins. Breast pet scans are known as positron emission mammography (pem).
Metabolic Radiomics For Pretreatment 18 F Fdg Pet Ct To Characterize Locally Advanced Breast Cancer Histopathologic Characteristics Response To Neoadjuvant Chemotherapy And Prognosis Scientific Reports from media.springernature.com After detecting the location of the tumor, the area will be biopsied for testing in the lab. Pet scans can be used to determine how much cancer is in a person's body and how far the cancer has spread, which is called staging. Mammograms take advantage of the fact that most of the female breast is fat tissue, so it's relatively transparent to the low doses of radiation used in mammography. Breast positron emission tomography (pet) scan is an imaging test that uses a tracer (radioactive substance) to look for symptoms of breast cancer. I am wondering, and never asked the oncologist about this. Each has its own strengths. So i think in patients with breast cancer, it's very important to obtain both. Before a pet/ct scan, an iv that injects a small amount of a radioactive substance will be placed into one of your veins.
Breast pet scans are known as positron emission mammography (pem).
When breast cancer cancer spreads. Normally, a pet scan is not used for breast cancer screening. This substance is often called a tracer, because it helps reveal cancer in the body. The report of ct scan cannot be the basis of determining if a patient has cancer or not; At left is a ct scan, while the center image is from a pet scanner. A pet scan will help detect cancer and show how far it has spread. It is common for patients to receive a diagnosis for cancer of unknown primary. Another very common type of cancer is prostate cancer and for this type it's actually been proven that bone scans are more effective than pet scans. Am wondering if all the while we are getting ct scans for lung cancer, is this also scanning for. However, your doctor may call this a pet scan. In some cases, physicians use all three imaging techniques. Does anyone know if a ct scan can show breast cancer or colon cancer rather than the standard mammogram or colonoscopy? It's an effective imaging test for finding cancer and learning its stage.
Online Make Id Card : Free ID card maker | Create ID cards online with Drawtify / Create an identification card for your company with editable templates . Upload your own photos, resize elements, change color schemes and fonts and make any other changes you see fit. When you arrive, dmv employees can quickly access your completed form and begin to process it. Browse or search through fotor's id card template library, and choose one template that best fits your needs. To do so, make an appointment online using the dhsmv's online service before visiting a nearby division of driver licenses office and provide:. Or if your design is ready, just upload it and we will print the id cards for you. Create your custom id card using a template from the adobe spark library. Consolidated id card office online Add text, barcodes, qr codes, images and even shapes to your id. When you arrive, dmv employees can quickly access your completed form and begin to process it. Make...
Make Bingo Cards With Pictures Free / Bingo Card Templates Make Your Own Bingo Cards Printerfriendly / Now you can replace some or all of the pictures in the picture bingo option with vocabulary words to help teach students vocabulary. . A big factor of playing bingo in the classroom that turns teachers off is the prep time. Make your first deposit of €/£10 today and we will give you €/£40 in bonuses & 40 free spins on mystery reels megaways, t&cs apply join paddy power™ bingo today to play the latest bingo games! Mark off free space to begin. May 04, 2021 · camping bingo game. While it is based on the classic bingo game, there are some additional rules that can make the game more fun and competitive. We have three different types of picture bingo cards that you can make: How are you going to make multiple bingo cards when you've got papers to grade, lesson plans to write and all of the other tasks that being a teacher throws at you. 3x3, 4x4 and 5x5 pict...
What Are The Symptoms Of Uterine Cancer Recurrence / Uterine most cancers Recurrence : Bleeding (from you vagina, bladder, or rectum) . They may differ from one another. Not all uterine cancer cells are alike. There are limited studies in the literature that review the site of recurrence in patients with endometrial cancer. The earlier the cancer is diagnosed and treated, the less likely it is to return. The standard of care for women with stage iii/iva endometrial cancer following surgery has been chemotherapy and radiation to prevent recurrence. They may differ from one another. Early stage endometrial cancer carries a low risk of recurrence. Uterine cancer symptoms include bleeding between periods or after menopause. There are two kinds of uterine cancer. She is expecting at least a single mastectomy, and potentially a double mastectomy, along with more radiation and/or chemotherapy. U...
Komentar
Posting Komentar